جراثيم البريمية تشخيصها وعلاجها

nehad ahmed
دليل الامراضطب وصحة
nehad ahmed14 مارس 2019آخر تحديث : منذ 7 سنوات
جراثيم البريمية تشخيصها وعلاجها

جراثيم البريمية هي أحد الجراثيم شديدة الخطورة على صحة الإنسان، حيث أنها أحد أنواع الأمراض الحيوانية التي تنتقل من الحيوان إلى الإنسان، والسبب الأساسي في انتقال تلك العدوى والإصابة للإنسان هي الفئران، حيث تتواجد تلك الجراثيم في بول الفئران التي قد تتركه في مياه الترع أو المسابح أو مواسير المياه المكشوفة أو المستنقعات أو المجاري أو البرك، ولذلك تلك الجراثيم هي أكبر صور التلوث التي تحيط بالإنسان.

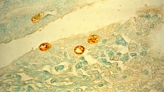
جراثيم البريمية
جراثيم البريمية

الإصابة بعدوى جراثيم البريمية

  • لا شك أن للإنسان سبب كبير في تعرضه لتلك النوعية من الجراثيم أو ما تسمى باسم جراثيم البريمية، حيث أن تعريض جسمه للتلوث يجعله بمثابة فريسة سهلة لتلك الأمراض الخبيثة والقاتلة.
  • نزول الإنسان للترع أو البرك الغير أو المياه الغير نظيفة بشكل عام يجعله عرضة للإصابة بالعديد من الجراثيم والميكروبات الضارة، لذلك يجب الإقلاع عن نزول مياه الترع أو البرك أو المستنقعات بشكل نهائي لحماية الجسم.
  • ضعف المناعة من الأسباب الرئيسية أيضًا لإصابة الجسم بتلك الجراثيم، ويحدث ذلك نتيجة فقر الدم، وعدم تناول الغذاء الصحي المتمثل في الخضروات النافعة والفواكه بشكل يومي.
  • كما أن تناول الأطعمة الجاهزة من مصادر غير مضمونة أو معروفة خارج المنزل قد يعرضالإنسان للإصابة بمثل تلك الجراثيم الخطرة.
  • ولكن السبب في انتقال تلك الجراثيم بسهولة هي بول الحيوانات المصابة، ولذلك يجب أن نهتم من نظافة أغراضنا ونظافتنا الشخصية ونظافة كل ما نستخدمه في حياتنا اليومية، وتجنب تربية الحيوانات المصابة في المنزل.

» اقرأ أيضًا: التهاب السحايا السلي | تشخيصه وعلاجه وكيفية الوقاية وطرق العدوى

تشخيص الإصابة بالجرثومة البريمية

  • يمكننا تشخيص واكتشاف الإصابة بمشكلة جراثيم البريمية من خلال عمل الفحوصات الطبية التي تتمثل في أخذ عينة من السائل النخاعي الموجود بالمخ أو من البول، حتى يتم التعرف على الجسم الغريب والمهاجم للجسم.
  • فحديثا تم استخلاص المضاد لتلك الجراثيم من نفس جسمها، حيث تم اكتشاف أن بالجرثومة المصل الخاص بالعلاج منها، ولذلك القيام بعمل تلك الخطوة من أهم طرق علاجها المعروفة.
  • ولكن يفضل القيام بتلك الخطوة في الأسبوع الأول من اكتشاف المرض، ويرجع ذلك لأن تلك الجراثيم تنتشر بشكل كبير وملحوظ في الدم في الأسبوع الثاني من الإصابة بها، ويعد ذلك خطرًا مؤكد على حياة المريض.
  • وأثناء قيام الطبيب بتلك الفحوصات يقوم أيضًا بمتابعة الجهاز المناعي والتأكد من كفاءته في محاربة تلك الجراثيم المميتة، وبتابع أيضًا معدلات الأنيميا لمحاولة علاجها بأكثر من وسيلة وطريقة.

علاج جرثومة البريمية

  • بمجرد تحديد الإصابة من خلال الفحوصات الطبية والتأكد من تواجد جراثيم البريمية في الجسم أو مجرى الدم، يتم كتابة بعض الأدوية الطبية التي تتمثل في بعض العقاقير الطبية للسيطرة على الإصابة.
  • وتتمثل تلك العقاقير الطبية في مادة البنسلين ومادة الأمبيسلين ومادة الأموكسيسلين، حيث يتم تحديد المادة الأنسب للمريض على حسب الفئة العمرية التي ينتمي إليها، بالإضافة إلىالتأكد من المادة الفعالة له.
  • ويراعي الطبيب قبل إعطاء العلاج التأكد من تحسس المريض من أي مادة من المواد العلاجية أولاً، حتى لا يتسبب العلاج في حدوث أي أثار جانبية سلبية، كما أنه يحدد تركيز المادة المعالجة بناء على شدة الإصابة وعمر المريض.
  • وهناك نوعية أخر من المضادات الحيوية يتم معالجة بها تلك الجراثيم وهي التتراسكلينات، وتلك المادة هي نوعية معروفة من أنواع المضاد الحيوي طويلة المدى شديدة التأثير، التي تعمل على علاج الجسم من تلك الأمراض الخطيرة.
  • ويتم تحديد فتر العلاج على حسب الإصابة، ولكنها تتراوح ما بين أسبوعين إلى أربع أسابيع، ويتم في تلك الفترة متابعة تقدم الحالة من خلال الفحوصات الطبية المختلفة التي يحرص الطبيب على الاطلاع عليها.
رابط مختصر